Medial epicondyle fracture of the humerus - Emergency Department

  • Fracture Guideline Index

    See also: - Medial epicondyle fracture of the humerus - Fracture clinics

    1. Summary
    2. How are they classified?
    3. How common are they and how do they occur?
    4. What do they look like - clinically?
    5. What radiological investigations should be ordered?
    6. What do they look like on x-ray?
    7. When is reduction (non-operative and operative) required?
    8. Do I need to refer to orthopaedics now?
    9. What is the usual ED management for this fracture?
    10. What follow-up is required?
    11. What advice should I give to parents?
    12. What are the potential complications associated with this injury?

    1. Summary

    Fifty percent of medial epicondyle fractures are associated with an elbow dislocation. 

    It is important to distinguish a medial epicondyle fracture (common) from a medial condyle fracture (very rare). Medial condyle fractures are intraarticular, extending into the elbow joint and require urgent open reduction internal fixation (ORIF).

     

    Fracture type

    ED management

    Follow-up

    Medial epicondyle
    <5 mm displacement

    Medial_epicondyle_ED_Section1_lessthan5mm.JPG  

    Above-elbow backslab at 90 degrees elbow flexion for 3 weeks. The backslab and sling should be worn under clothing (e.g. loose fitting shirt) and not through the sleeve

    Fracture clinic at 3 weeks with x-ray out of backslab. Child is then placed in collar and cuff for three weeks

    Medial epicondyle
    5 mm to 15 mm displacement

    Medial_epicondyle_ED_Section1_5to15mm.jpg

    Refer to nearest orthopaedic on call service.

    Management (closed treatment vs. operative treatment) is dependent on a number of factors, including child's age and sporting activities. See indications for reduction

    Discuss with orthopaedic service

    Medial epicondyle
    >15 mm displacement (with elbow dislocation)

      ED_Section 1_Medial epicondyle greater 15mm.jpg

    Refer to the nearest orthopaedic on call service. Requires reduction +/- ORIF

    If closed reduction for an elbow dislocation is performed, always order repeat x-rays to check that the medial epicondyle fracture is not trapped in the joint. If there is any doubt, urgent ORIF should be performed

    To be arranged by orthopaedic service

     

    2. How are they classified?

    The medial epicondyle is a secondary growth centre at the elbow, which first appears around age 6 and fuses to the shaft of the humerus at about age 14-17 years. A medial epicondyle fracture is an avulsion injury of the attachment of the common flexors of the forearm. The injury is usually extra-articular but can be sometimes associated with an elbow dislocation. These fractures can be classified based amount of displacement and whether the medial epicondyle is incarcerated within the joint.

    3. How common are they and how do they occur?

    Medial epicondyle fractures are common and account for 10% of all elbow fractures in children. They occur between the ages of 7-15 years.

    They are usually a result from an avulsion (pull off) injury caused by a valgus stress at the elbow and contraction of the flexor muscles.

    Fifty percent of medial epicondyle fractures are associated with an elbow dislocation.

    4. What do they look like - clinically?

    A child presenting with a medial epicondyle or condyle fracture of humerus presents with tenderness and swelling at the medial aspect of the elbow. There may be a dislocation of the elbow.

    5. What radiological investigations should be ordered?

    Anteroposterior (AP) and lateral x-rays of the elbow should be ordered. If there is clinical suspicion of injury in the forearm or wrist then separate films of these areas should be ordered.

    It is very important to identify any injuries in the forearm as this has major implications with regards to swelling.

    6. What do they look like on x-ray?

    Medial condyle fracture

    Although rare, it is important to distinguish a medial epicondyle fracture from a medial condyle fracture. Medial condyle fractures are intra-articular (extends into the joint) fractures. All medial condyle fractures require a review with the nearest orthopaedic on call service


    Medial_epicondyle_ED_Section_6.jpg  Medial_epicondyle_ED_Section6_Box_humerus_x-ray.jpg

     

    Undisplaced or minimally displaced fractures (<5 mm)

    Medial_epicondyle_Figure1_1073855_Medial_epi_less5mm_AP_lat.jpg

    Figure 1: AP and lateral x-ray of a minimally displaced (< 5mm) medial epicondyle fracture in seven year old girl. Undisplaced or minimally displaced fractures may be difficult to see on x-ray. Soft tissue swelling may be the only finding. Later an injury can be identified by the formation of fracture callus, periosteal reaction along the medial border of the humerus.

    Displaced fractures (>5 mm)

    Medial_epicondyle_Figure2A_1151248_AP_and_lat.jpg

    A

      Medial_epicondyle_Figure2B_1151248_1_Medial_epo_AP2_ORIF.jpg  Medial_epicondyle_Figure2B_1151248_2_Latera_ORIF.jpg

    B

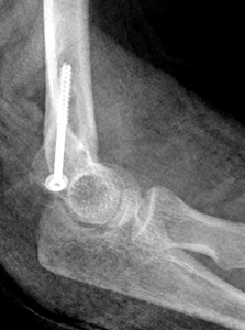
    Figure 2: A) Thirteen year old gymnast with medial epicondyle fracture. The medial epicondyle is separated >5 mm (red arrow). This is evident on the AP view. It is more difficult to see on the lateral view due to the splint. B) Due to the child's age and type of sporting activity, management was open reduction and internal fixation.

     

    Medial epicondyle fracture with elbow dislocation

    Medial_epicondyle_Figure3_1346674_AP.jpg  Medial_epicondyle_Figure3_1346674_lat.jpg

    Figure 3: Nine year old with elbow dislocation and fracture of the medial epicondyle (white arrow). Fifty percent of medial epicondyle fractures are associated with an elbow dislocation, which is easily identified on x-ray.

     

    Medial epicondyle trapped in elbow joint

    An elbow dislocation requires urgent closed reduction. Always do repeat x-rays to check that the medial epicondyle is not incarcerated in the joint. If there is any doubt that the medial epicondyle is trapped in the joint, an urgent open reduction and internal fixation is needed. 

    Medial_epicondyle_Figure4_1346674-AP.jpg  Medial_epicondyle-Figure 4_1346674_lat.jpg

    Figure 4: With an elbow dislocation, the medial epicondyle can be incarcerated in the joint (white arrow) following reduction. This can be difficult to identify on x-ray. It is important to check that the medial epicondyle is present in its anatomical position. On the AP view, the medial epicondyle is missing (red arrow). On the lateral view, the fragment appears as an additional bony opacity interposed between trochlea and olecranon. Note also that the opposing joint surfaces of the olecranon and trochlea are not congruent.

     

    7. When is reduction (non-operative or operative) required?

    There is little consensus in the literature as to the amount of fracture displacement that warrants surgical intervention.

    For medial epicondyle fractures that are displaced 5 mm to 15 mm, operative management is dependent on a number of factors such as the child's age and involvement in sporting activities (Table 1).

    Table 1: Relative indications for closed treatment versus operative treatment in medial epicondyle fractures displaced 5 mm to 15 mm.

     

    Closed treatment

    Operative treatment

    Age

    ≤8 years

    ≥ 8 years

    Dominance

    Non-dominant arm

    Dominant arm

    Sports

    Nil/little sports

    Athlete - throwing activities or gymnastics

    Absolute indication for urgent open reduction and internal fixation:

    • Elbow dislocation with incarceration of medial epicondyle

    Relative indications for open reduction and internal fixation:

    • Displacement >10 mm-15 mm
    • Ulnar nerve palsy
    • Dominant upper limb in throwing athlete or gymnast

    Following reduction, <15 mm of displacement is considered acceptable.

    8. Do I need to refer to orthopaedics now?

    See above. Indications for prompt consultation include:

    1. Displacement >15 mm
    2. Medial condyle fracture (i.e. intra-articular fracture)
    3. Associated elbow dislocation especially with entrapment of the medial epicondyle within the joint

    9. What is the usual ED management for this fracture?

    Management is based on the amount of displacement.

    Fracture type

    Type of reduction

    Immobilisation method & duration

    Medial epicondyle
    <5 mm displacement

    Medial_epicondyle_ED_Section1_lessthan5mm.JPG

    No reduction required

    Above-elbow backslab at 90 degrees elbow flexion for 3 weeks with sling. The backslab and sling should be worn under clothing (e.g. loose fitting shirt) and not through the sleeve.

    Backslab is removed at 3 weeks and child is then placed in collar and cuff for three weeks

    Medial epicondyle
    5 mm to 15 mm displacement

    Medial_epicondyle_ED_Section1_5to15mm.jpg

    Refer to nearest orthopaedic on call service for advice

    Management (closed treatment versus operative treatment) is dependent on number of factors such as child's age and sporting activities. See indications for reduction

    As above

    Medial epicondyle
    >15 mm displacement

    ED_Section 1_Medial epicondyle greater 15mm.jpg  

    Refer to the nearest orthopaedic on call service

    Refer to the nearest orthopaedic on call service

     

    10. What follow-up is required?

    For medial epicondyle fractures that underwent closed treatment, follow-up should be arranged at three weeks in fracture clinic.

    For fractures that go to theatre, follow-up should be arranged by the consulting orthopaedic team.

    11. What advice should I give to parents?

    The backslab and sling should be worn under clothing (e.g. loose fitting shirt) and not through the sleeve.

    Generally, medial epicondyle fractures are a benign injury with very good long-term functional results.

    Physiotherapy is not recommended to regain range of motion (ROM).

    12. What are the potential complications associated with this injury?

    • Medial elbow instability
    • Nonunion (usually not symptomatic or requiring any treatment)

    See fracture clinics for other potential complications. 

    References (ED setting)

    Beaty JH, Kasser JR. The elbow: Physeal fractures, apophyseal injuries of the distal humerus, avascular necrosis of the trochlea, and T-condylar fractures. In Rockwood and Wilkins' Fractures in Children, 7th Ed. Beaty JH, Kasser JR (Eds). Lippincott Williams & Wilkins, Philadelphia 2010. p.533-93.

    Gottschalk HP, Eisner E, Hosalkar HS. Medial epicondyle fractures in the pediatric population. J Am Acad Ortho Surg 2012; 20(4): 223-32.

    Herring JA. Upper extremity injuries. In Tachdjian's Pediatric Orthopedics, 4th Ed. Saunders, Philadelphia 2008. p.2451-536.

    Feedback

    Content developed by Victorian Paediatric Orthopaedic Network
    To provide feedback, please email rch.orthopaedics@rch.org.au