Table of contents will be automatically generated here...
Introduction
- There are three standard films, which should be considered
- routinely in incidents of major trauma:
- These three provide a basic screen for major injuries.
- Radiology is done at the end of the primary survey after A, B, C problems have been identified and appropriately treated.
- Full monitoring is continued thoughout.
- Radiology is done in the resuscitation room whilst the child is under constant observation /supervision of the emergency staff.
Basic approach
With all radiographs, check you have the correct: Name Date Orientation.
Radiology of the c-spine
This chapter discusses interpretation of c-spine X-rays (see cervical spine assessment clinical practice guidelines)
Types of injuries
- Subluxation or dislocation without fracture
- Fracture with or without Subluxation or dislocation
- SCIWORA
SCIWORA (Spinal Cord Injury Without Radiographic Abnormality)
Spinal cord injury without radiographic abnormality is defined as injury with objective signs of myelopathy as a result of trauma, but with no evidence of fracture or ligamentous instability on plain x-rays or tomography.
SCIWORA is most frequently seen in younger children (especially under about 8 years of age), and in injuries of the cervical spine. Postulated causes include:
- ligamentous laxity and bony immaturity, allowing excessive, transient movement during trauma, which in turn causes distraction or compression of the spinal cord;
- cord ischaemia due to vascular injury or hypoperfusion.
The incidence reported in children ranges from 1% to 10% of all spinal cord injuries.
Younger trauma patients tend to have more profound neurological injury, and hence less long-term improvement.
A number of children will present with minor neurological injury and progress to complete or partial spinal cord injury.
The incidence of this delayed onset of the serious symptoms is reported to be between 5 and 50%. Delays to onset of full symptoms have been as long as 4 days.
Because of these presentations, all children with histories of neurologic symptoms or any neurologic deficit should be treated as having potential spinal cord injury.
Interpretation of c-spine films
Clinical and radiological data must be interpreted together. The c-spine x-ray in the trauma series is the Lateral:
this should identify 80% -90% of fractures.
A full radiological examination of the c-spine requires two further x-rays:
AP
Odontoid (>5yrs)
These should be performed when further imaging is required in order to assess the c-spine.
Paediatric considerations when interpreting the films
A number of normal radiological findings in children are significantly different from those in adults.
The common findings that cause concern are:
- pseudo-subluxation of C2 on C3 (seen in up to 25% of children),
- exaggerated atlanto-dens distance (seen in 20% of children under 8 years of age),
- radiolucent synchondrosis between the odontoid and C2 (seen in all children under 4 and in 50% of those under 10 years of age).
Other normal findings that can be misinterpreted include:
- variable anterior soft tissue width altering with head-positioning and crying;
- the anterior ring apophyses of the vertebral bodies;
- the anterior wedging of the vertebral bodies (especially C3).
All of these normal findings can be mistaken for acute traumatic injuries in children following trauma.1.
Children more than 8 years old have radiographic appearances similar to adults.
Lateral c-spine
1. Check adequacy
Must include:
- Whole C-spine, C1 to C7,
- C7/ T1 junction
- C1/occipital junction Injuries occur mainly at the top and bottom.
If unable to visualise, use Swimmer's view as described in c-spine
(see cervical spine assessment clinical practice guidelines)
2. Check alignment
Normal lateral c-spine film 1:

Draw 4 smooth curved lines running from top to bottom vertical lines:
- The anterior vertebral bodies,
- The posterior vertebral bodies,
- The facet line,
- The spinolaminar line
Spinal column lies between 2 and 4 Lines: Smooth No steps
No angulation Line 2 should line up with the clivus; Line 4 should line up with the Back of the foramen magnum.
The distances between C3-C7 spinous processes should show no significant widening (fanning).
The distance between the spinous process of C1 and C2 is large.
Normal lateral c-spine film Od odontoid peg - DENS SP spinous process Laminar F Facet Joint A Preodontoid space:

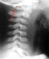
3. Next assess SWISCHUK lines
To assess for Pseudosubluxation.
Normal laxity of spine can be misinterpreted as subluxation.
Here there appears to be subluxation of C2 C3
Draw SWISCHUK lines
- From the posterior arch C1 to posterior arch C3 the spinolaminar line
- Parallel line though the posterior arch C2 Does this line 1 pass within 1mm of line 2?
SWISCHUK linesThis is within normal limits:
Pseudosubluxation is exaggerated when the neck is in flexion, not in neutral.
Any measurement above 2 mm is abnormal.
4. Assessment of bone / vertebral bodies
Review the outline of each vertebral body Below C2 they should be same height and uniformity
X-ray shows compression # C4 C5:

X-Ray shows # C2 - Hangman's Fracture C7 spinous process:

5. C1 C2 atlanto-axial
Atlanto-axial gap:

Joint between odontoid peg and the anterior arch of the atlas should be less than 4 mm in a child.
90% of children, between 1-4 mm.
6. Joint spaces
Assess spaces between:
- Facet joints
- Gaps between vertebral bodies. Each space should be similar and parallel.
Gaps between spinous process: C1-C2 large gap C2-C8 similar size gaps
7. Soft tissues
Review soft tissues
The widening of the prevertebral tissue suggests
- Soft tissue oedema from infection/abscess
- Haematoma from # c-spine
Also widened on:
- Flexion
- Crying
- Large adenoids The film is ideally end-expiration with the neck in neutral position
Size of soft tissue space Above the larynx C2: less than one third of the vertebral body width Below the larynx C3-C7: not more than one vertebral body width Progressively narrows towards C7
Any soft tissue swelling which is larger than this is abnormal, unless as above.
X-rays of the same infant:

On the left there is a widened prevertebral space however the neck is in flexion and the infant is crying and the larynx is high
On the right shows normal prevertebral space with the neck in extension and the larynx at C3
Widened soft tissue spaces:

8. Disc spaces
Review the disc spaces they should be of similar height Note large space C6/C7
Distraction C6/C7:

Note large gap between C1/C2 spinous process
C1/C2 distraction:

Further imaging of the c-spine
- 1. AP
- 2. Odontoid
- 9. AP
- Check 4 smooth undulating lines of alignment as shown below,
- Spinous processes should be in line,
- Gaps between the spinous processes should be similar.
Note normal variant for C3-C6 to have bifid tips to the spinous process.
Normal AP view:

10. Odontoid
Radiology of Odontoid peg if > 5years
C1 ATLAS is a ring with articular processes the "lateral masses" It articulates:
- Superiorly with convex occipital condyles
- Inferiorly with C2 the AXIS
C2 AXIS anteriorly has the odontoid peg
- The two lateral masses must be equidistant from the odontoid peg
- The two lateral masses must be in complete alignment
To check for rotation of the film the line from the middle of the incisors should transect the dens equally
Examples of odontoid fractures:
i. Odontoid peg visible equidistant from each lateral margin unable to see extreme of edges
ii. Abnormal odontoid alignment
Lateral margins overhang (see below)
iii. Normal alignment of lateral margins
Jefferson #:

The lateral margins are overhanging and not aligned
Odontoid peg fracture
- For further review of c-spine discuss with senior orthopaedic and or neurosurgical consultants re MRI & CT
- Continue spinal immobilisation until cleared clinically and radiologically
Radiology of the chest
The X-Ray is a portable supine AP.
1. Check adequacy
Inspiration: 6 anterior rib visible on the X-Ray above the diaphragm:

- Penetration: able to see vertebral disc though heart Normal chest x-ray
2. Alignment
- Medial ends of clavicles symmetrical on either side of, and equidistant from, the vertebral column;
- Anterior ends of ribs symmetrical on either side of, and equidistant from, the vertebral column.
3. Apparatus
Check position of all internal tubes - Endotracheal tube, Nasogastric tube, etc.
4. Bones
Check all bones present on the X-Ray i.e. spine, ribs, scapula, clavicle and, proximal humerus.
5. Joints
Check acromioclavicular joint and the shoulder joint.
6. Borders /Mediastinum
- Check that apices are clear
- Check that costophrenic angles are clear
- Check that costocardiac angle are clear.
7. Diaphragm
Check it is clearly defined and normally situated.
8. Lungs
Check: -The trachea is central; -The lungs are fully inflated; check for lung markings throughout;
- The lung fields are symmetrical;
- Horizontal fissure in correct position ;
Remember the X-Ray is taken supine
so pneumothorax and haemothorax will differ from an erect
film
9. Heart
Check: -The size is normal. This is difficult to interpret in an AP film but it is generally 2/3 of the lateral diameter.
- Position - is there any deviation?
Examples of chest x-rays
Right lower lung contusions Left-sided pneumothorax:

Right haemothorax:

Pulmanary contusions Subcutaneous emphysema Pneumomediastinum Bilateral chest drains Intubated - Nasogastric tube:

Radiology of the pelvis
If:
- There is no clinical suspicion of pelvic injury,
- You are able to assess the patient i.e conscious patient/no distracting injuries/no drugs or alcohol,
- Clinical assessment is normal with no pain, this X-RAY can be excluded from the Trauma series, thus avoiding unnecessary radiation to the ovaries or testes.
The radiograph is an AP pelvic view.
1. Alignment
Sacrum tip and spine in alignment with symphysis pubis.
2. View
- Should include iliac crests to ischial tuberosities
- Both hips and femoral necks.
3. Bones
Assessed easily by drawing a series of rings and lines. Series of rings:
- Pelvic rim ring
- Two obturator rings
- Two acetabular fossa rings
:
Three lines:
- Shenton's line
- Iliopectineal line
- Ilioischial line
These should all be smooth with no steps.
Remember to review:
- Ilium
- Pubis
- Sacrum
- Proximal femurs.
If there are any concerns about
pelvic fractures, seek expert Orthopaedic opinion on further
imaging and treatment
Examples of pelvic fractures
Acetabular fracture Pelvic fractureDislocated right hip:

Dislocated right hip multiple pelvic ring fractures pubic diastasis:

Other considerations
Further imaging should only take place after discussion
with specialist consultant orthopaedic/neurosurgical consultant.
The patient's transfer to a definitive centre of care should not be
delayed to await imaging.
- Imaging of the head CT/MRI (see head injury section)
- Imaging of the abdomen (see abdominal injury section)
- Facial views (see
maxillofacial injury section)
- Thoraco-lumbar (see Thoraco-lumbar spinal injury section)
References / further reading
- Atlas of Normal Roentgen Varients that may Simulate Disease. Theodore.E.Keats
- Atlas of Roentographic Measurement. Theodore.E.Keats & Lee B Lusted
- Emergency Imaging of the Acutely IIl or Injured Child . Edition, Leonard E. Swischuk.
- Essentials of Caffey's Pediatic X-Ray Diagnosis. Frederick N Silver, Jerald P.Kuhn.