Talus Fractures: Emergency Department

  • 1. Summary

    Talus fractures are uncommon injuries in children but are frequently associated with significant long-term disability due to the risk of avascular necrosis or osteoarthritis.  This risk can be attenuated by appropriate early diagnosis and management.

    2. How are they classified?

    Talus fractures can be classified by

    • - Anatomical Location:   Neck, Body, Lateral Process, or osteochondral fracture of the dome
    • - Displacement (Including presence of absence of subtalar subluxation
    • - High or Low Force injuries

    Hawkins Classification of Talar Neck fractures:
    How are they classified

    3.  How common are they and how do they occur

    • - Uncommon injury, particularly in children
    • - Fractures of Talar neck and body occur with combination of dorsiflexion plus axial loading: eg falling from a height in crouching position or collision of go-cart with foot on brake pedal.

    4.   What do they look like - clinically?

    • - Pain and swelling just distal to the anterior aspect of the ankle
    • - Pain and/or inability to bear weight
    • - Findings may be minimal in a non-displaced or osteochondral fracture, especially in ankle inversion injuries 
    • - There may be co-existing fractures or injuries in high-force mechanisms

    5. What radiological investigations should be ordered?

    • - 3 plain-film views of the ankle: AP, lateral and oblique
    • - CT may be required either for operative planning or to assess whether a fracture is truly non-displaced. 
    • - MRI is sometimes used in diagnosis of a suspected osteochondral fracture

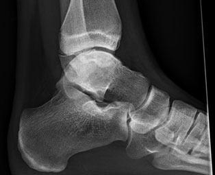
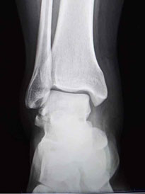
    6. What do they look l   ike on X-ray?

    Hawkins I

    Hawkins I_1

    Hawkins I_2

    Hawkins II

    Hawkins II_1

    Hawkins II_2

    Hawkins III

     

    Hawkins III_2

    Talar Body

    Talar Body_1

    Talar Body_2

    fracture of lateral process

    fracture of lateral process

     

    osteochondral fracture of
    talar dome

    osteochondral fracture of 
talar dome_1

    osteochondral fracture of 
talar dome_2

    7.  When is reduction (non-operative or operative) required?

    • - Displaced talar neck fractures require reduction by orthopaedics.  If closed reduction is unsuccessful, open reduction internal fixation may be required.

    8. Do I need to call orthopaedics now?  

    • - Type 3 and 4 talar neck fractures (displaced with posterior fragment extruded backwards) need urgent reduction as the skin is at risk of necrosis, and closed reduction often fails. Ideally this would take place in theatre if timely access is available.
    • - Any talar neck fracture should be referred to the orthopaedics service at the time. These can have more displacement than is obvious on xray. 

    9. What is the usual ED management for this fracture?

    • - Truly undisplaced fractures can be placed in a below-knee cast with ankle at 90 degrees and seen in fracture clinic within a week.  If there is doubt about whether the fracture is truly non-displaced, a CT may be required.
    • - Displaced fractures should be referred to the nearest orthopaedics service.
    • - Weight bearing should be avoided. Crutches or a wheelchair may be required to facilitate this.  (Return to weight bearing will be discussed by orthopaedics in the course of follow-up)

    10. What follow up is required?

    • - Nondisplaced injury: fracture clinic in one week with repeat X-Ray (AP, lateral and oblique). Regular ongoing review will be required.
    • - Displaced injury: will need follow-up as arranged by orthopaedics.

    11. What advice should I give to parents?

    • - The ankle will be immobilised and weight-bearing avoided until there is radiographic evidence of healing, due to the risk of avascular necrosis.  This is a stricter regimen than in most ankle fractures.
    • - Advice regarding care of the cast.

    12. What are the potential complications associated with this injury?

    • - Avascular necrosis, due to the non-redundant blood supply of the talus. This is particularly common in displaced talar neck fractures, and is associated with significant disability.
    • - Osteoarthritis of the tibiotalar or subtalar joint
    • - Nonunion
    • - Malunion

    13. References

    Smith, J et al. Complications of Talus Fractures in Children. J Pediatr Orthop 2010; 30: 779-784
    Mcrae, R. Pocketbook of Orthopaedics and Fractures. 2nd ed 2006
    Eberl,R et al. Fractures of the Talus - Differences between Children and Adolescents. J. Trauma 2010; 68: 126-30
    Aurelien et al. Talus fractures in a four year old child BMJ Case Rep 2017 doi: 10.1136/bcr-2016-215063
    Byrne AM. Paediatric Talus Fracture BMJ Case Rep 2012; 2012: bcr1020115028